Distale Radiusfraktur

Unfallmechanismus

Zur Fraktur (Knochenbruch) des distalen Radius (Speiche handgelenksnah) kommt es in der Regel durch einen Sturz auf die ausgestreckte (Extensionsfraktur) oder seltener auf die gebeugte (Flexionsfraktur) Hand. Bei jungen Patienten handelt es sich um ein Sturzgeschehen mit erheblicher Gewalteinwirkung (z.B. beim Sport), beim älteren Patienten kann bereits bei Stürzen aus dem Stand heraus eine distale Radiusfraktur erfolgen, insbesondere wenn eine Osteoporose (verminderte Dichtigkeit des Knochens) vorliegt.

Typische Beschwerden

Bei einer distalen Radiusfraktur kommt es zu Schmerzen, einer eingeschränkten Funktion sowie oft zu einer Schwellung im Bereich des Handgelenks. Häufig lässt sich auch eine Fehlstellung des Arms im Handgelenksbereich feststellen.

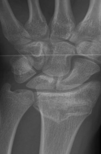
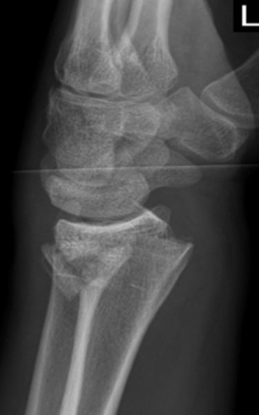
Diagnostik

Besteht der klinische Verdacht auf eine distale Radiusfraktur wird zunächst ein Röntgenbild des Handgelenks in 2 Ebenen angefertigt. Bei schwereren Bruchformen sollte eine Computertomographie (CT) erfolgen um die weitere Therapie optimal planen zu können. In einigen Fällen, insbesondere bei Verdacht auf ligamentäre Begleitverletzungen (Verletzungen von Bandstrukturen im Handgelenks- und Handwurzelbereich), sollte eine Magnetresonanztomographie (MRT oder auch Kernspin genannt) durchgeführt werden.

Einteilung der Frakturformen

Unterteilen lässt sich der Bruch nach dem Unfallhergang, nämlich ob der Bruch auf die ausgestreckte Hand (Extensionsfraktur oder auch Colles Fraktur) oder auf die gebeugte Hand (Flexionsfraktur oder auch Smith Fraktur) erfolgt ist. Daneben werden noch weitere Einteilungen vorgenommen, beurteilt wird hier, ob der Bruch ohne Gelenkbeteiligung, mit teilweise Beteiligung des Handgelenks  oder einer Trümmerfraktur des Handgelenks einhergeht.

Nichtoperative (konservative) Behandlung

Undislozierte (nicht verschobene) stabile  Brüche können konservativ im Gips behandelt werden, allerdings müssen hier regelmäßige Röntgenkontrollen erfolgen, da es durchaus zu einer sekundären Dislokation (Verschieben des Bruchs nach einigen Tagen) kommen kann. Nach Abschluß der Ruhigstellung (in der Regel 4-6 Wochen) erfolgt Krankengymnastik.

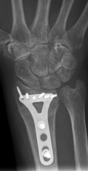
Operative Behandlung

Flexionsfrakturen (Smith Frakturen) und instabile Brüche, sowie offene Brüche müssen operativ behandelt werden. Hierzu wird die Fraktur offen reponiert (eingerichtet) und mit einer Platte und darin einliegenden Schrauben in der korrekten Stellung gehalten. Heutzutage wird diese sogenannte Plattenosteosynthese (Verplattung) durch mittlerweile optimierte Materialien nahezu immer von der Handflächenseite (palmar) her eingebracht. Gelegentlich kann auch eine Versorgung mit Spickdrähten oder mit einem Fixateur externe (von außen aufgesetztes Metallgestell) besser zu Versorgung geeignet sein, der Operateur wird das jeweilige geeignete Verfahren auswählen.

Nach der Operation kann meistens direkt mit der krankengymnastischen Beübung des Handgelenks begonnen werden, allerdings darf das Handgelenk für in der Regel 6 Wochen nicht mit Gewicht belastet werden. Die Nachbehandlung wird individuell vom Operateur festgelegt werden und richtet sich nach verschiedenen Kriterien, unter anderem nach der Knochenqualität.

Metallentfernung

Nur bei Einbringen von Spickdrähten oder der Verwendung eines Fixateur externe ist eine Metallentfernung zwingend notwendig, diese erfolgt in der Regel nach 6 Wochen. Nach einer Plattenosteosynthese ist in der Regel keine Metallentfernung notwendig.