Metacarpalefrakturen

Unfallmechanismus

Frakturen der Mittelhandknochen kommen häufig durch einen Faustschlag (sehr oft den Mittelhandknochen V betreffend) oder einen Sturz (oft Mittelhandknochen I betreffend) zustande.

Typische Beschwerden

Schmerzen insbesondere bei Bewegung, Schwellung, ggf. Fehlstellung der Finger (Rotationsfehler)

Diagnostik

Bei klinischen Verdacht auf eine Mittelhandfraktur erfolgt zunächst die Anfertigung von Röntgenaufnahmen. Weitergehende bildgebende Diagnostik ist meist nicht notwendig.

Einteilung

Metacarpale II-V: Schaftfrakturen, Köpfchen- oder basisnahe Frakturen mit oder ohne Gelenkbeteiligung

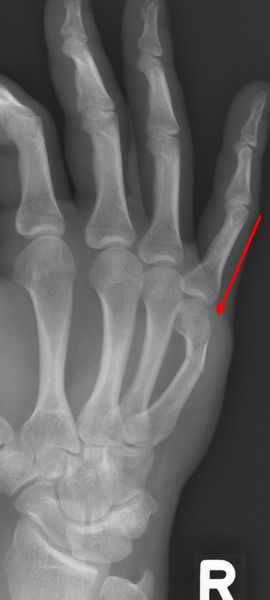
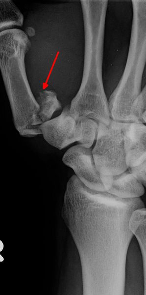
Metacarpale I Frakturen:

Wintersteinfraktur: Bruch ohne Gelenkbeteiligung

Bennettfraktur: basisnahe Schrägfraktur mit Gelenkbeteiligung, das Metacarpale I wird durch Sehnenzug bei dieser Bruchform immer verschoben werden.

Rolandofraktur: basisnahe y- oder T-förmiger Bruch mit Gelenkbeteiligung.

Nicht operative Therapie

Gelenkferne nicht dislozierte Brüche können konservativ im Gips versorgt werden. Wichtig sind Röntgenkontrollaufnahmen, um ein späteres Verschieben (sekundäre Dislokation des Bruchs) zu erkennen. Außerdem muß ein Rotationsfehler oder ein relevanter Längenverlust unbedingt ausgeschlossen werden.

Bei den Metacarpale I Frakturen können lediglich die Wintersteinfrakturen konservativ versorgt werden, auch hier sind engmaschige Röntgenkontrollen angezeigt, um ein Abrutschen des Bruchs rechtzeitig zu erkennen.

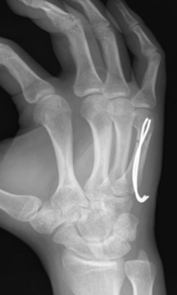
Operative Therapie

Die operative Versorgung der Metacarpale V Frakturen erfolgt entweder in der Regel mit Drähten, gelegentlich ist der Einsatz einer Plattenosteosynthese (Verplattung) notwendig. 

Bei Metacarpale I Frakturen müssen Bennett – und Rolandofrakturen immer operativ versorgt werden, hier wird der Operateur entscheiden, ob eine Spickdrahtversorgung oder eine Plattenosteosynthese erfolgt.

Metallentfernung

Bei einer Versorgung mit Spickdrähten oder elastischen Nägeln erfolgt eine Metallentfernung meist nach 6 Wochen.